
Hidden Costs of Dental Treatments: What Patients Often Overlook
When you think about dental care, the first costs that come to mind are usually fillings, cleanings, or root canals.
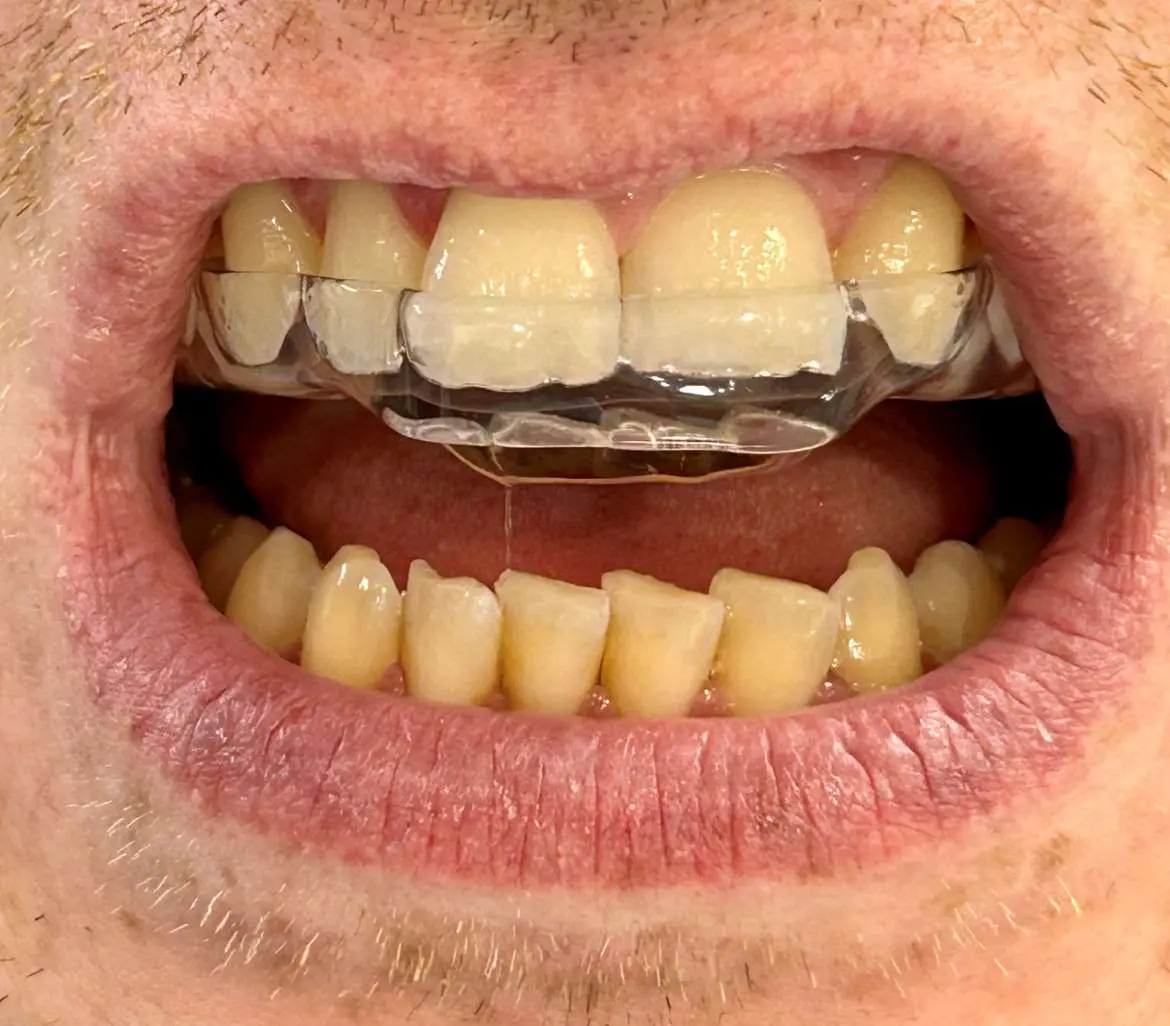
Night Guards: If you are suffering from intense pain in your teeth, jaw, or facial muscles, it could be due to bruxism or tooth grinding. Luckily, Dr. Pooja Jain can provide relief by prescribing a custom-made nightguard or bite splint. This device, worn during sleep, can effectively mitigate the pain caused by grinding your teeth. By protecting your healthy teeth, a nightguard is a proactive measure towards preserving your oral health. The nightguard is a clear, thin, and removable appliance that fits over either your upper or lower teeth.
Athletic Guards: It is crucial to use a mouthguard during any physical activity that could result in a blow to the face or mouth. We offer custom-fit mouthguards that can prevent broken teeth and injuries to the lips, tongue, face, and jaw. Unlike boil-and-bite mouthguards from sporting goods stores, our custom-fit mouthguards are more comfortable and secure, allowing you to breathe and speak normally.
If you have decided a guard is right for you, the dentist will take an impression of your teeth which will then be sent to our lab to make a custom fit guard for you.
Dr. Pooja Jain, a highly skilled best dentist in Delhi, is recognized as one of the best doctors for mouth guards. With her expertise and commitment to patient care, she provides top-notch mouth guard solutions to protect your teeth and ensure your oral health.
Mouth guards are essential for individuals engaged in sports or those who grind their teeth at night. Dr. Pooja Jain understands the importance of safeguarding your teeth from potential damage and offers personalized mouth guard options tailored to your specific needs.
If you are in search of a reliable dentist for mouth guards in East of Kailash, schedule a consultation with Dr. Pooja Jain today. Experience personalized care and receive a high-quality, custom-fitted mouth guard to protect your teeth and enjoy peace of mind during physical activities or while sleeping.
Secure your spot for a bridge and crown treatment at 32 Strong Dental today. Complete the form below to proceed. Delays may worsen your dental issues.
There are plenty of benefits you can get with our Night Guards and Athletic Guards. Some of them are listed below:

Our dentist teams are well-experienced in their respective fields of expertise.

We always follow the strict sterilisation protocol to ensure cleanliness and safety.

Our dental treatments are both affordable and designed to fit your budget.

Every dental procedure and treatment at our clinic goes through strict quality checks.

We always value our client’s satisfaction, which results in positive feedback from them.

We use the latest dental technology to provide you with more advanced dental treatments.

When you think about dental care, the first costs that come to mind are usually fillings, cleanings, or root canals.

Tooth loss doesn’t just affect your smile—it impacts confidence, speech, and even nutrition. For those seeking a permanent solution, full-arch

In the realm of modern dentistry, All-on-4 and All-on-6 dental implants represent groundbreaking solutions for individuals seeking a complete smile
The cost of a mouthguard or night guard in Delhi typically ranges from ₹4,000 to ₹7,000, and this price range applies to athletic guards as well. However, the final cost of both can vary depending on factors such as additional diagnostics required, the patient’s specific condition, and the case’s complexity.
Yes, wearing a night guard throughout the day is generally safe, but there are some considerations to keep in mind. Wearing a night guard during the day can offer several benefits, such as helping to manage stress, protecting dental work, and alleviating symptoms of TMJ disorders. However, it’s important to ensure that the night guard fits properly and does not cause discomfort.
A night guard’s lifespan typically ranges from 1 to 2 years, depending on factors such as the material used, the frequency of use, and how well it is maintained. Over time, night guards can wear down or lose their effectiveness, so it’s important to monitor their condition and replace them as needed to ensure they provide proper protection and comfort.
A mouthguard, particularly an occlusal guard (also known as a night guard), can improve your bite over time. These guards are designed to protect dental work, reduce symptoms of jaw misalignment, and act as a guide for bite adjustment. In some cases, they help align the jaw and alleviate discomfort. However, additional dental treatments may be necessary in severe cases where symptoms persist, even after the teeth have been reshaped. It’s best to consult a dentist to determine the most effective solution for your specific bite issues.
Feel free to contact us if you have any questions or concerns, or if you are experiencing any dental issues. We're always ready to help.
Social Chat is free, download and try it now here!